无创颅内压检测在1例脑栓塞患者脑疝早期的诊断作用
患者,女,56岁,因突发失语右侧肢体无力3h入院,入院查体:神志清楚,言语对答切题,但含糊,右侧鼻唇沟变浅,伸舌右偏,右侧肢体肌张力正常,右侧肌力4级,无明显感觉障碍,腱反射对称,右侧病理征(+),脑膜刺激征(—),无大小便障碍。辅助检查:头颅CT提示“双侧基底节区腔隙性脑梗死”;胸片、心电图、肝肾功能正常。既往有风湿性心脏病史10余年。入院诊断:脑栓塞。给予扩血管、神经营养剂、钙拮抗剂等治疗,经治疗,患者一度好转,但入院第3日,患者病情突然加重。

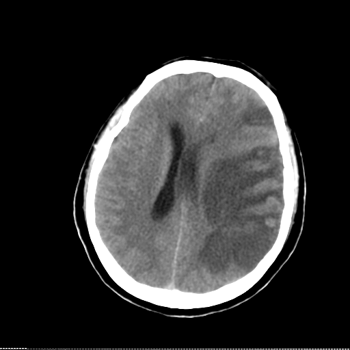
图1:头颅CT提示:左侧颞叶大面积脑梗塞,中线移位

图2:双侧压力差>150mmH2O,提示脑疝趋势。
入院第1天使用重庆海威康医疗仪器有限公司无创颅内压监测仪检查患者颅内压,提示双侧颅内压增高,分别为右侧462mmH2O、左侧372 mmH2O,4h后复查右侧567mmH2O、左侧549mmH2O,第2天复查右侧525mmH2O、左侧585mmH2O,因患者临床症状好转,而无创颅内压检测提示颅内压呈持续上升状态,故引起临床重视,第3日患者症状突然加重,复查头颅CT提示“左侧颞叶大面积脑梗死,中线移位”(见图1)。此时复查无创颅内压检测:分别为右侧525mmH2O、左侧717mmH2O,双侧压力差>150mmH2O,提示脑疝可能(见图2)。之后转脑外科行手术减压治疗。起病后无创颅内压检测提示颅内压逐渐增高,并有脑疝趋势(见图3),为疾病的及时诊断提供了帮助。

图3:颅内压监测趋势图
讨论:脑梗死患者,头颅CT在发病后6~8h,甚至12h检查都可能显示为“阴性”。本例患者,起病早期症状相对较轻,起病后3h头颅CT未见明显梗死灶,根据既往病史,临床考虑为脑栓塞。治疗前2日患者症状好转,而未能估计到病情的危险性,未考虑到颅压增高引起脑疝的可能。临床上本类情况并非偶然,本例患者的诊治过程,无创颅内压检测发挥了两项作用:(1)既早于临床发现大面积脑梗死导致的颅内压增高;(2)作为脑疝的早期预警信号。
目前已经有较多手段可帮助医生尽早识别大面积脑梗死,如:脑灌注/弥散成像(DPI)、正电子发射断层扫描(PET)、单光子发射计算机断层摄影术(SPECT)、腰穿了解颅内压等。但脑灌注/弥散显像、PET等费用较高,临床应用受到限制;腰穿在小面积脑梗死患者中并非常规,且较多病人不愿接受该有创检查,使临床中难以推广。
通过视觉诱发电位[1]进行无创颅内压检测[2~4]是近年来发展起来的一种无创的监测颅内压的方法,其原理为:闪光刺激视觉诱发电位中N126的潜伏期与颅内压成线性相关,通过大量实验数据找到两者之间的函数关系,检测中通过闪光刺激诱发患者的fVEP,通过N126的潜伏期换算出患者的颅内压。临床研究中证实,无创颅内压检测与有创检测无明显差异,提示无创颅内压检测可在一定程度代替有创检测应用于临床。研究中发现无创颅内压检测双侧压力差>150mmH2O可作为脑疝早期的预警信号。
视觉诱发电位(VEP)分两类:(1)棋盘格式翻转视觉诱发电位(PRVEP):是目前临床最常用的一种,又分为全视野、半视野、1/4视野3种,受试者必须密切配合,注视视屏固定亮点,特别是在半视野刺激时,常易引起视觉疲劳。(2)闪光视觉诱发电位(FVEP):早期常用于临床,但目前除特殊情况外,已为PRVEP所取代。但目前在下述情况下仍应用于临床:(1)对精神病、婴幼儿或昏迷患者不能合作者;(2)FVEP受视敏度影响较小,故对视力减退,视物欠清者,仅需了解视网膜到枕叶通道是否完整者;(3)对PRFVEP不愿合作者。故而闪光视觉诱发电位(FVEP)适用于神经科无癫痫病史和视路损伤的颅内压增高的各类病人,且不受患者意识状态的影响。
对临床诊断脑梗塞的患者,如果能够在早期通过无创颅内压检测发现颅内压增高,将有助于临床医生对病情的判断,及时进行进一步影像学的检查,以制订更合理的治疗方案。
参考文献:
1. 潘映福 主编 临床诱发电位学.第二版.北京:人民卫生出版社,2000.457-462.
2. Desch LW. Longitudinal stability of visual evoked potentials in children and adolescents with hydrocephalus. Dev Med Child Neurol, 2001,43:113-117.
3. 张忠志,吴景天,夏德昭.视觉诱发电位潜时的生理性与检查性影响因素.中国实用眼科杂志,1994,12:585-588
4. 周冀英 彭国光 程远等。闪光视觉诱发电位无创监测颅内压的可行性研究.中华医学杂志,2003,83(20):1-5
- < 上篇:无创性颅内压监测技术研究进展
- > 下篇:无创颅内压监测临床应用价值
