19
2025/12
摘要 目的:研究在不同颅内压(ICP)水平时闪光视觉诱发电位(fVEP)和有创颅内压监测的相关性和一致性,探讨fVEP无创监测颅内压的可行性。方法:152例颅内高压患者用fVEP与腰椎穿刺测压或脑
[摘要] 目的 研究闪光视觉诱发电位(fVEP)各波潜伏期与颅内压的关系,评价fVEP在神经内科疾病中颅内压监测临床应用的可行性。方法 测量22名健康人,44例高颅内压患者和35例腰椎穿刺测量颅
我院应用无创颅内压监测仪(重庆海威康医疗仪器有限公司生产)对颅内高压的患者进行测试,经比较分析认为,无创颅内压监测方法具有较准确的测定颅内压及其变化趋势的效果。 1 对
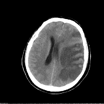
患者,女,56岁,因突发失语右侧肢体无力3h入院,入院查体:神志清楚,言语对答切题,但含糊,右侧鼻唇沟变浅,伸舌右偏,右侧肢体肌张力正常,右侧肌力4级,无明显感觉障碍,腱反
摘 要 有创性颅内压(ICP)监测操作复杂,并发症较多,限制了其应用。扩大无创性ICP监测的应用范围,已成为ICP监测研究的新热点。文章综述了经颅多普勒超声、闪光视觉诱发电位、鼓膜移
微信客服